Las condiciones de vida actuales han ido aumentando nuestra esperanza de vida y, por ende, el pronóstico de las afecciones relacionadas con la vejez. Una de las más conocidas es la enfermedad de Alzheimer (EA) o la demencia tipo Alzheimer, una enfermedad neurodegenerativa. Debido a su popularidad, se han volcado muchas de las investigaciones en estudiar cómo se desarrolla y si en algún momento se va a poder curar. Asimismo, cada vez conocemos más sobre las posibles causas, síntomas y evolución a lo largo del tiempo. A continuación, profundicemos un poco más en las bases conceptuales del Alzheimer.
¿Qué es la enfermedad de Alzheimer?

La demencia tipo Alzheimer, descubierta por Alois Alzheimer en 1906, se caracteriza por ser un cuadro clínico de deterioro progresivo que se desarrolla en la edad adulta. En este sentido, es una condición irreversible que impacta considerablemente la funcionalidad de la persona, afectando inicialmente la memoria a corto plazo.
Actualmente, la OMS estima que 50 millones de personas padecen algún tipo de demencia, y entre el 50 % y el 60 % de ellas específicamente tendrán demencia tipo Alzheimer. Por último, cabe destacar que dichas cifras han ido en aumento con el tiempo, lo cual ha generado un creciente interés en los servicios socio-sanitarios debido a la necesidad de atención especializada.
Causas de la enfermedad de Alzheimer
Al ser el alzhéimer una enfermedad neurodegenerativa, se conoce que hay afectaciones intrínsecas en el cerebro. Sin embargo, el diagnóstico de la enfermedad de Alzheimer no se puede confirmar hasta que se analiza el cerebro de la persona cuando fallece. Pese a esto, se sabe que existen cambios microscópicos y macroscópicos en este.
Microscópicos
La demencia tipo Alzheimer se caracteriza por la acumulación de la proteína β-amiloide, que se produce debido a mutaciones en ciertos genes que provocan un desarrollo excesivo de esta proteína en formas neurotóxicas, afectando al cerebro. En estos pacientes, la β-amiloide se acumula formando las conocidas “placas seniles”, las cuales dañan progresivamente las neuronas cerebrales. Además de esta acumulación, también ocurre la hiperfosforilización de la proteína tau, responsable del ensamblaje y estabilización de los microtúbulos de los axones. Al fosforilarse, la tau interfiere con el ensamblaje, causando la destrucción del axón y formando los “ovillos neurofibrilares” característicos de la enfermedad de Alzheimer (Barragán et al., 2019).
En conjunto, estos dos factores contribuyen al daño y la muerte de las neuronas, lo cual repercute directamente en el desarrollo y avance de los síntomas clínicos que experimentan las personas con esta condición. Así, una enfermedad neurodegenerativa como el Alzheimer avanza de manera progresiva, afectando las capacidades cognitivas y la funcionalidad del individuo.
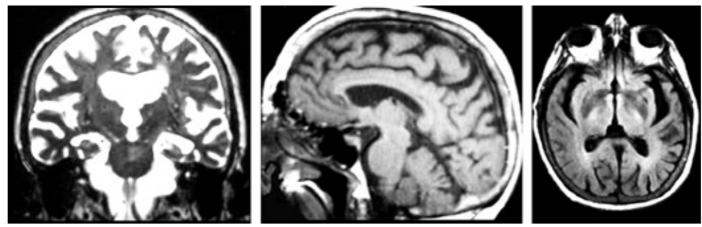
Macroscópicos

Asimismo, los pacientes que presentan enfermedad de Alzheimer muestran una atrofia cerebral que comienza en los hipocampos y amígdalas. Después, en lóbulos frontales y temporales. Con el avance de la enfermedad, todo el cerebro queda perjudicado. Así, tales daños concuerdan con el avance de la sintomatología de dicha afección.
Factores de riesgo de la enfermedad de Alzheimer
Existen múltiples factores de riesgo que pueden predisponer a la persona a desarrollar la demencia tipo Alzheimer. Ahora, no son factores obligatorios. Es decir, no por cumplir con estas características se va a desarrollar la patología. Entre los principales factores de riesgos se encuentran:
- Edad: Actualmente, es el principal marcador de riesgo para desarrollar la enfermedad. De esta manera, el riesgo va aumentando después de cumplir 60 años (Navajas et al., 2005).
- Sexo: Se ha encontrado que hay una mayor prevalencia de mujeres que desarrollan alzhéimer.
- Reserva cognitiva: La educación y exposición a actividades de ocio interactivas y activas ayudan en el aumento de las conexiones neuronales. Asimismo, esto ayuda a compensar y retrasar las manifestaciones clínicas de la patología.
- Historia familiar: Supone que es el riesgo de desarrollar alzhéimer aumenta el doble en individuos que tienen familiares que lo padecen. Aspecto que se explica por la presencia de antecedentes genéticos que predisponen a las personas a desarrollarlo. La influencia genética ocurre, especialmente, cuando tal desarrollo se produce de manera precoz o tardía.
Manifestaciones cognitivas de la enfermedad de Alzheimer
Al ser el alzhéimer una enfermedad neurodegenerativa, la alteración de las funciones cognitivas se produce progresivamente. Es decir, con el daño progresivo de las neuronas va aumentando la cantidad y nivel de afectación del funcionamiento general.
Efecto en la memoria: Primeras señales y progresión
La primera función que suele afectarse es la memoria. En un inicio, empiezan los olvidos en la memoria a corto plazo y la episódica. En estos momentos, la persona comienza a olvidar dónde deja las cosas o a repetir historias por no recordar que ya las había contado. De igual manera, le cuesta el aprendizaje de nueva información y acordarse de nuevos eventos.

Impacto en el lenguaje
Los pacientes con demencia tipo Alzheimer empiezan a tener problemas en el lenguaje. Al principio, las afectaciones son muy leves y se caracterizan por problemas para encontrar palabras (anomia). En fases más avanzadas, hay dificultades en la comprensión y producción del lenguaje. Y, por último, en las finales puede aparecer mutismo.
¿Qué ocurre con las praxias?
Las praxias también se encuentran afectadas desde el inicio de la enfermedad. El primer síntoma que se observa es la dificultad para efectuar actividades que requieren pasar la información de lo visual a la acción. Un ejemplo de esto es la dificultad para armar cosas. A medida que avanza la enfermedad van surgiendo problemas para seguir secuencias o realizar gestos de manera voluntaria (Ardila y Roselli, 2007; Cicarrelli y Chomnalez, 2017).
El caso de las funciones ejecutivas
Las funciones ejecutivas también se ven afectadas en la demencia tipo Alzheimer, comenzando con dificultades para mantener y manipular información mentalmente. A medida que progresa el deterioro, se presentan problemas para inhibir comportamientos y pensamientos, y se vuelve complicado planificar, organizar o cambiar de perspectiva. Inclusive, en fases más avanzadas el juicio puede verse comprometido frente a diferentes aspectos, lo que afecta significativamente la toma de decisiones (González, 2000).
Orientación en el alzhéimer
La orientación es otra función que se encuentra comprometida en la demencia tipo Alzheimer. Se produce la desorientación temporal, olvidando el mes o año. Con el paso del tiempo, quien lo padece comienza a tener problemas para recordar el lugar donde está. Finalmente, pueden llegar a olvidar información relacionada con la orientación personal.
¿Qué sucede con la atención?
Las personas con enfermedad de Alzheimer empiezan por presentar dificultades en la atención dividida. Esta se relaciona con problemas para hacer dos actividades de manera simultánea. A medida que transcurre el tiempo, comienzan a tener problemas para sostener la atención en una actividad. De igual manera, les cuesta seleccionar los estímulos relevantes para realizar una tarea. En etapas más avanzadas, existe dificultad para focalizar la atención de forma apropiada.
Manifestaciones conductuales y neuropsiquiátricas
Este tipo de afectación toma cursos diferentes en cada individuo. Suelen ser los aspectos que más problemas crean en el desarrollo de las actividades cotidianas y, por ende, son lo que más carga generan en los cuidadores. Entre los síntomas que pueden aparecer, según Slachevsky y Fuentes (2005), están:
- Depresión: Puede ser previa o cursar durante el avance del alzhéimer. La presentación de este fenómeno no se da como tristeza, sino que se reemplaza por irritabilidad, preocupaciones, ansiedad o temor.
- Trastornos del sueño: Aparece en más de la mitad de los pacientes con enfermedad de Alzheimer. Se destacan principalmente los múltiples despertares, fragmentación y agitación nocturna. En los casos más severos, hay una inversión en los ciclos de sueño y vigilia.
- Apatía: Otro de los síntomas más comunes. Se caracteriza por una pérdida de iniciativa y motivación, disminuye la interacción social y aparece indiferencia emocional. Adicionalmente, puede generar junto con la depresión una pérdida de interés en las actividades, enlentecimiento motor y fatiga.
- Agitación: Se puede presentar haciendo actividad vocal, motora y verbal inapropiada sin explicación causal. También se pueden incluir actividades que son apropiadas, pero en las que cambia su intensidad, frecuencia o contexto.
- Psicosis: Se presenta en un bajo porcentaje de las personas con enfermedad de Alzheimer en etapas avanzadas. Estos síntomas pueden ser alucinaciones o ideas delirantes. Adicionalmente, se asocian con agitación motora, labilidad emocional y agresividad. En consecuencia, es uno de los síntomas de los que más se quejan los cuidadores.
Conclusión
Para concluir, la enfermedad neurodegenerativa de Alzhéimer es la demencia más usual y de más prevalencia a nivel mundial que se presenta por daños neuronales que son progresivos. A medida que avanza aumentan los síntomas y, por ende, las afectaciones en el desarrollo de la vida diaria. Al ser progresivo, los pacientes van perdiendo paulatinamente su autonomía e independencia.
A pesar de conocerse muchos aspectos sobre esta enfermedad, todavía no se conoce una cura. Por ello, se está trabajando en técnicas para enlentecer el proceso degenerativo y el control de algunas de las sintomatologías. Por último, es importante entender el rol de la familia en dicha enfermedad, ya que esta es una herramienta fundamental para el mantenimiento y manejo de la patología. Finalmente, para aprender más sobre esta enfermedad neurodegenerativa, sus bases neurólogicas y el proceso diagnóstico, te recomendamos nuestro curso sobre demencias.
Referencias bibliográficas
- Ardila, A. (2015). Historia y Clasificación de las Apraxias. Revista Neuropsicología, Neuropsiquiatría y Neurociencias, 15(1), 109-118. https://www.researchgate.net/publication/289700155_Historia_y_clasificacion_de_las_apraxias
- Barragán, D., García, M. A., Parra, A. y Tejeiro, J. (2019). Enfermedad de Alzheimer. Medicine, 12(74), 4338-4346. Doi: 10.1016/j.med.2019.03.012
- Navajas, R., Castillo, A., Quintana, J. y Allam, M. (2005). Factores de riesgo de la enfermedad de Alzheimer. Revista de neurología, 40(10), 613-618. Doi: 10.33588/rn.4010.2004360
- Slachevsky Ch, A. y Fuentes G. P. (2005). Síntomas psicológicos y conductuales asociados a demencias: Actualización terapéutica. Revista médica de Chile, 133(10), 1242-1251. Doi: 10.4067/S0034-98872005001000015






















