Anteriormente, solía creerse que cuando no estamos realizando actividades que demanden recursos cognitivos (como al dormir), nuestro cerebro “se apagaba”. No obstante, esta idea fue descartada con el descubrimiento de la red neuronal por defecto (default mode network, DMN, en inglés). En resumidas palabras, este término refiere a aquellas áreas cerebrales conectadas entre sí que, al entrar nuestra mente en reposo, se activan. Pero… ¿Cómo se descubrió que, incluso cuando “no estamos haciendo nada”, nuestro cerebro igual presenta actividad?
¿Qué es la red neuronal por defecto?
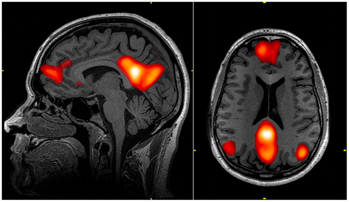
La DMN es una región del cerebro que se activa cuando no estamos concentrados en una tarea específica, es decir, cuando nuestra mente está “en reposo”. En otras palabras, esta red sería como el “piloto automático” del cerebro. Pues, se activa cuando no estamos enfocados en una tarea específica. Pero también, desempeña un papel importante en la regulación de emociones, la toma de decisiones y recuperación de recuerdos. En añadidura, es sensible a los estados emocionales y ritmo circadiano.
Estructura neuroanatómica de la red neuronal por defecto
Por otro lado, esta red se divide en tres principales subdivisiones (Raichle, 2015):

- Corteza prefrontal ventral media: Relacionada con la recepción de información sensorial del mundo exterior y del cuerpo. La información que recibe la transmite a áreas cerebrales responsables de regular las emociones, comportamiento social y motivación. Asimismo, su actividad está influenciada por el estado emocional de la persona, disminuyendo cuando la ansiedad es alta y aumentando cuando disminuye.
- Corteza prefrontal medial dorsal: A diferencia de la anterior, esta área está más relacionada con la toma de decisiones y juicios sobre uno mismo. Por lo tanto, al realizar tareas que requieren atención y concentración se activa, mientras que la anterior se desactiva.
- Corteza cingulada posterior y precúneo medial: Por último, las siguientes regiones están involucradas en la recuperación de información previamente almacenada en la memoria. Además, muestran una fuerte conexión con el hipocampo, que desempeña un rol relevante en la memoria. Curiosamente, la actividad de esta red varía durante el día, siendo más fuerte por la noche y más débil por la mañana después de una noche de sueño.
Antecedentes e investigaciones previas
El camino hacia la DMN ha estado marcado por una serie de investigaciones clave que exploraron la actividad cerebral en estados de reposo y durante tareas cognitivas. Así, en 1997, Shulman y colaboradores analizaron varios conjuntos de datos de tomografía por emisión de positrones (Positron Emission Tomography, PET, en inglés), que implicaron una variedad de tareas cognitivas, desde la atención, hasta la memoria y el lenguaje, bajo diferentes condiciones.
Sorprendentemente, observaron una disminución del flujo sanguíneo en regiones cerebrales específicas durante las tareas activas en comparación con la simple visualización pasiva de estímulos. Como resultado de tales hallazgos, se llegó a la idea de que el cerebro podría mantener una actividad intrínseca durante el estado consciente en reposo a través de una red extensa de áreas corticales asociativas en las regiones parietal y frontal.
El descubrimiento de la red neuronal por defecto

Sin embargo, fueron los hallazgos de Greicius et al. 2003, los que marcaron un hito importante en la investigación sobre la DMN. Pues, su estudio se centró en la identificación y caracterización más profunda de esta red cerebral.
En la investigación, Greicius y su equipo se propusieron investigar las áreas del cerebro que mostraban desactivación durante las tareas de memoria de trabajo en personas sanos. En particular, se centraron en el precúneo y la corteza prefrontal medial, dos regiones que se habían identificado previamente como parte de la DMN.
Cuando las áreas desactivadas se unen
Lo que encontraron fue fascinante, descubrieron que estas regiones, que mostraban desactivación durante las tareas cognitivas, en realidad formaban una red que también se activaba durante el reposo. Por lo tanto, se propuso que las áreas no estaban simplemente “apagadas” durante tareas cognitivas, sino que estaban relacionadas en una red que tenía actividad intrínseca (Menon, 2023).
Además, los investigadores exploraron la conectividad funcional de la DMN, mostrando cómo estas regiones se comunicaban entre sí incluso en ausencia de una tarea específica. Esto, en consecuencia, permitió comprender que la DMN no solo estaba activa durante el reposo, sino que también desempeñaba un papel en la comunicación y la organización de la actividad cerebral en general.
La red por defecto en personas con depresión
Dada la naturaleza de la red por defecto, se ha planteado la posibilidad de que haya una activación diferencial en trastornos internalizantes e introspectivos. En decir, en trastornos donde el foco está en en el mundo interno de la persona, con una marcada tendencia a realizar inferencias autorreferenciales negativas. Particularmente, en el trastorno depresivo mayor, se ha observado que la DMN puede tener una actividad anormal, ya sea aumentada o disminuida en comparación con personas sin trastorno depresivo mayor.
En este sentido, depresión y rumiación están vinculados, debido a la tendencia de las personas con trastorno depresivo mayor a rumiar, es decir, a dar vueltas repetitivas a pensamientos negativos. En mayor detalle, ciertos autores plantean que este tipo de pensamiento rumiante deviene en un estilo maladaptativo, que ocurre como respuesta a un estado de ánimo negativo (Martínez, 2023). Si te interesa aprender más sobre el abordaje de la depresión, te invitamos a nuestro curso en terapia de activación conductual.
Activaciones cerebrales en la depresión

Sin perjuicio de lo expuesto, lo interesante es que no solo las personas con trastorno depresivo mayor muestran estas diferencias en la DMN. También se ha investigado a personas que no tienen un historial de depresión pero tienen un alto nivel de neuroticismo, lo que significa que son más propensas a experimentar emociones negativas.
En ese sentido, cuando dichas personas escuchan críticas sobre sí mismas, muestran una mayor activación en dos regiones de la DMN, la corteza prefrontal medial y el lóbulo parietal inferior, en comparación con aquellas con niveles promedio de neuroticismo. Sin embargo, esta mayor activación parece ocurrir específicamente cuando se enfrentan a críticas y no cuando reciben elogios. Además, la activación está relacionada con la tendencia a rumiar.
Por lo tanto, se hipotetiza que las personas en riesgo de desarrollar depresión pueden tener una predisposición neurocognitiva para rumiar sobre información negativa. Lo que, en consecuencia, podría contribuir a la aparición de síntomas depresivos en el futuro (Chou et al, 2023).
Conclusión
La investigación sobre la red neuronal por defecto (DMN) ha proporcionado una visión profunda de cómo opera el cerebro en estado de reposo. En parte, esto fue gracias a estudios sobre mind-wandering (vagabundeo mental). A su vez, la DMN no solo juega un rol en la autorreflexión constructiva, sino que también se vincula con la depresión y la tendencia a rumiar pensamientos negativos. Debido a esta relación, se han planteado nuevas investigaciones respecto a posibles vínculos de la red con otras patologías, como la enfermedad de Alzheimer.
Referencias bibliográficas
- Chou, T., Deckersbach, T., Dougherty, D. D. y Hooley, J. M. (2023). The default mode network and rumination in individuals at risk for depression. Social cognitive and affective neuroscience, 18(1), nsad032. https://doi.org/10.1093/scan/nsad032
- Greicius, M. D., Krasnow, B., Reiss, A. L. y Menon, V. (2003). Functional connectivity in the resting brain: A network analysis of the default mode hypothesis. Proceedings of the National Academy of Sciences of the United States of America, 100(1), 253-258. https://doi.org/10.1073/pnas.0135058100
- Martínez, A. (2023). El vínculo calidad de sueño-rumia y el rol de la sintomatología depresiva: Una revisión bibliográfica. [Tesis de grado, Facultad de Psicología, Universidad de la República]. Repositorio Institucional – Universidad de la República.
- Menon, V. (2023). 20 years of the default mode network: A review and synthesis. Neuron, 111(16), 2469-2487. https://doi.org/10.1016/j.neuron.2023.04.023
- Raichle, M. E. (2015). The brain’s default mode network. Annual Review of Neuroscience, 38(1), 433-447. https://doi.org/10.1146/annurev-neuro-071013-014030






















