El sistema nervioso central es una región vital del cuerpo humano, responsable de coordinar funciones críticas como el movimiento, el pensamiento y la regulación de órganos. Sin embargo, diversas patologías pueden alterar su funcionamiento de manera severa. Entre estas, destacan el linfoma cerebral primario y el ictus, dos condiciones neurológicas que, aunque comparten algunos síntomas, tienen causas y tratamientos fundamentalmente distintos. Pero, ¿qué es exactamente un linfoma cerebral primario? ¿Por qué suele confundirse con el ictus?

Linfoma cerebral primario: Un cáncer raro y complejo

El linfoma cerebral primario es un subtipo raro de linfoma no Hodgkin que afecta el sistema nervioso central, incluyendo el cerebro, la médula espinal, las meninges y, en ocasiones, los ojos. Dicha enfermedad tiene una incidencia estimada de 0.4 casos por cada 100.000 personas al año, siendo más frecuente en personas mayores de 60 años y en aquellas con sistemas inmunológicos comprometidos, como pacientes con el virus de la inmunodeficiencia humana (VIH).

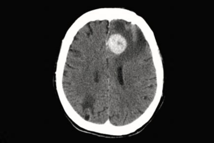
Linfoma cerebral
Neurocirugía Barcelona (s.f.). Son tumoraciones que epidemiológicamente representa menos del 3% de todas las tumoraciones cerebrales. [Fotografía]. Recuperado de www.neurocirugiabarcelona.com

La fisiopatología de esta condición se encuentra relacionada con alteraciones en las células B, incluyendo mutaciones en los genes MYD88 y CD79B, que fomentan el crecimiento celular descontrolado. Así, el presente tipo de linfoma representa aproximadamente el 4 % de los tumores cerebrales malignos y el 6 % de los linfomas extranodales. Asimismo, aunque es altamente quimiosensible, las tasas de recaída siguen siendo elevadas, lo que subraya lo fundamental de un diagnóstico temprano y un manejo eficaz (Schaff y Grommes, 2022).

Características del linfoma cerebral primario

Con una presentación clínica variable, incluye déficits neurológicos focales, alteraciones cognitivas, cambios en el comportamiento y, en algunos casos, síntomas de hipertensión intracraneal como náuseas y vómitos. En consiguiente, su diagnóstico requiere un alto grado de sospecha clínica y el uso de herramientas avanzadas como la resonancia magnética (functional magnetic resonance imaging, fMRI, en inglés). Siguiendo esta línea, las principales características del linfoma cerebral son las siguientes:

  • Localización de las lesiones: Frecuentemente, afecta estructuras profundas como el cuerpo calloso y los ganglios basales.
  • Patrón de crecimiento: Infiltración angiocéntrica que se extiende a lo largo de los vasos sanguíneos.
  • Diagnóstico por imagen: Lesiones homogéneamente realzadas con contraste y edema leve.
  • Sintomatología progresiva: Los síntomas suelen desarrollarse durante semanas o meses.
  • Alta quimiosensibilidad: Responde bien a regímenes de quimioterapia de dosis alta con metotrexato.

¿Qué es un ictus?: Explorando el accidente cerebrovascular

Por otra parte, encontramos el ictus, también conocido como accidente cerebrovascular. El mismo es una de las principales causas de discapacidad y mortalidad a nivel mundial, y ocurre cuando el flujo sanguíneo al cerebro se interrumpe, ya sea por un bloqueo, propio de los ictus isquémicos, o por la ruptura de un vaso sanguíneo, referente a los ictus hemorrágicos. A su vez, los síntomas suelen aparecer de forma súbita e incluyen debilidad en un lado del cuerpo, dificultad para hablar y pérdida de la visión (Kuriakose y Xiao, 2020).

Ictus: La máscara diagnóstica del linfoma

Conociendo lo anterior, sabemos que tanto el ictus como el linfoma cerebral pueden presentarse con síntomas neurológicos similares, lo que dificulta, en ocasiones, el diagnóstico inicial. Mismamente, un estudio reciente documentó casos en los que pacientes inicialmente diagnosticados con ictus resultaron tener linfoma cerebral. En situaciones así, el análisis del líquido cefalorraquídeo reveló la presencia de células malignas, lo que permitió ajustar el tratamiento de manera adecuada (Liang et al., 2023).

Diferencias entre un linfoma cerebral y un ictus

A pesar de que el linfoma cerebral primario y el ictus comparten síntomas neurológicos similares, como debilidad en las extremidades o alteraciones cognitivas, dichas condiciones presentan diferencias notables en su origen, evolución y tratamiento. Por ende, comprender las distinciones es esencial para garantizar un diagnóstico diferencial preciso y un manejo adecuado.

Velocidad de aparición: Gradual versus repentino

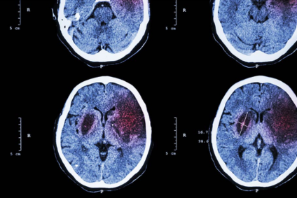
ictus y linfoma diferencia
Escribano, A. (2017). Existen dos tipos de ictus, el isquémico y el hemorrágico. [Fotografía]. Recuperado de www.tusdudasdesalud.com

En primera instancia, sabemos que el linfoma cerebral primario se desarrolla lentamente. Así, las personas que lo presentan suelen notar síntomas como cefaleas persistentes, cambios cognitivos o debilidad progresiva que se agravan en semanas o meses. Por ende, el avance gradual permite que los síntomas evolucionen antes de que se confirme el diagnóstico.

Por el contrario, el ictus aparece de forma abrupta. En cuestión de minutos, una persona puede experimentar parálisis en un lado del cuerpo, dificultades para hablar o pérdida de visión. Dicho inicio súbito refleja su naturaleza vascular, es decir, una obstrucción repentina del flujo sanguíneo en el ictus isquémico o la ruptura de un vaso en el ictus hemorrágico (Schaff y Grommes, 2022).

Indicadores sistémicos: ¿Afecta solo al cerebro?

El linfoma cerebral, al tratarse de un tipo de cáncer, puede ir más allá del sistema nervioso central. En casos avanzados, las personas experimentan fiebre, pérdida de peso o sudoración nocturna, señales de que la enfermedad se ha extendido más allá del cerebro.

Por otro lado, el ictus generalmente se limita al sistema neurológico y no presenta síntomas fuera de este. Sin embargo, las afecciones que lo desencadenan, como hipertensión o diabetes, si pueden generar complicaciones generales en la salud.

Diagnóstico y tratamientos: Diferencia entre linfoma e ictus

Como ya adelantamos previamente, el linfoma cerebral se diagnostica mediante resonancia magnética con gadolinio y, en casos específicos, análisis de líquido cefalorraquídeo para detectar células malignas. Su tratamiento se basa en quimioterapia de altas dosis con metotrexato, complementada con radioterapia o trasplante autólogo de células madre, aunque las recaídas son frecuentes.

En contraste, el ictus se confirma con tomografía computarizada o resonancia magnética, que identifican hipoperfusión o hemorragia según el tipo. A su vez, el ictus isquémico requiere trombólisis o trombectomía, mientras que el hemorrágico demanda cirugía para controlar la hemorragia y reducir la presión intracraneal (Kuriakose y Xiao, 2020).

Avances en el tratamiento del linfoma cerebral

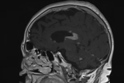
que es un linfoma cerebral
Muñoz, N. et al. (2017). El linfoma primario del sistema nervioso central (LPSNC) es una enfermedad poco frecuente y agresiva. [Fotografía]. Recuperado de www.elsevier.es

En los últimos años, la investigación sobre el linfoma cerebral primario ha dado lugar a nuevos enfoques terapéuticos. Por ejemplo, los inhibidores de la tirosina quinasa de Bruton, como el ibrutinib, han mostrado una amplia eficacia. Además, la inmunoterapia con agentes como el lenalidomida está siendo evaluada en ensayos clínicos, ofreciendo esperanza para aquellos con formas más agresivas de la enfermedad.

Estos avances destacan la importancia de un enfoque multidisciplinario en el manejo del linfoma cerebral. Se destaca, así, la necesidad de especialistas en neurología, oncología y radiología, así como también el hecho de que trabajen en conjunto, con el fin de optimizar los resultados del tratamiento.

Conclusión

Identificar las diferencias entre el linfoma cerebral primario y el ictus continúa siendo un desafío clínico a día de hoy. Si bien la neuroimagen y los análisis disponibles son herramientas clave, existe una creciente necesidad de biomarcadores específicos que permitan una detección más temprana.

Es interesante considerar cómo el desarrollo de tecnologías de inteligencia artificial podría mejorar la precisión diagnóstica más adelante, facilitando la identificación de patrones únicos en cada patología. ¿Será posible en un futuro próximo implementar estas herramientas de manera rutinaria en la práctica clínica? Lo que es seguro, es que ese cambio redefiniría el manejo de estas condiciones complejas.

Referencias bibliográficas

  • Kuriakose, D. y Xiao, Z. (2020). Pathophysiology and Treatment of Stroke: Present Status and Future Perspectives. International Journal of Molecular Sciences21(20), 7609. https://doi.org/10.3390/ijms21207609
  • Liang, X., Wang, C. y Liu, Y. (2023). CNS lymphoma masquerading as stroke: Cases report and literature review. Journal of Cellular and Molecular Medicine27(23), 3939-3947. https://doi.org/10.1111/jcmm.17995
  • Schaff, L. R. y Grommes, C. (2022). Primary central nervous system lymphoma. Blood140(9), 971-979. https://doi.org/10.1182/blood.2020008377